MobileApex系列
MobileApex 红钻移动DR采用63kW超高功率和轻量化设计,强劲与轻盈多功能远程控制系统,将移动摄影成像推向新高度,开启智慧摄影新模式,让拍摄更安心便捷。
MobileApex开启移动摄影新时代
可调屏幕 始终清晰
适配不同观察需求,无惧环境光线变化。
感应按键 舒适顺滑
触碰感应解锁,操作顺滑便捷。
隐藏式附件箱设计
接口封闭式设计,清洁消毒更轻松。
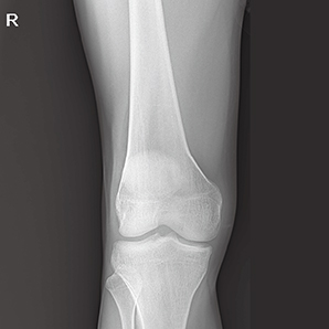
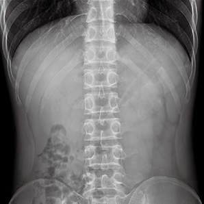
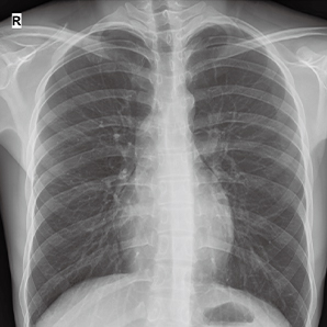
超大功率卓越影像链,清晰捕捉微小解剖结构
高精度稳定X射线,从容支持各类体型拍摄,体厚部位同享优质影像。
“慧眼” 智能系统,多功能控制
• 分体设计,让近身与远程控制切换自如;
• 摆位指导,远程指导无延时;
• 微动控制,远程微调设备精准定位;
• 图像预览,曝光结束后图像秒级预览。
发送查询
我们愿意更大范围、更深层次地参与全球合作与竞争


