世界防治结核病日 | 宝润DR精准影像,让结核无处遁形
揭开「白色瘟疫」的面纱
❶ 沉默的传染病之王
结核病是一种慢性传染病,结核病由结核分枝杆菌引起,全球19亿人携带潜伏感染(WHO 2024)。这种通过飞沫传播的疾病,能在人体潜伏数十年,当免疫力下降时,肺组织将像被虫蛀的树叶般逐渐坏死。

❷ 动态传播链:看不见的「细菌快递」
主要经呼吸道飞沫传播,当感染者咳嗽、打喷嚏或说话时,细菌会释放到空气中。与感染者密切接触的人群感染风险更高,尤其是在拥挤或通风不良的环境中。

❸ 症状迷雾中的危机
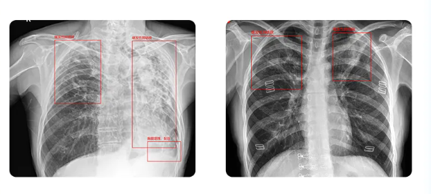
肺结核感染症状在早期表现为咳嗽≥2周、低热盗汗、痰中带血丝,进展期表现为胸痛、呼吸困难、全身衰竭

呼吸之痛:被忽视的白色瘟疫
❶ 【触目惊心的数据】肺结核从未远离!
据估算,2023年全球有1080万新发结核病患者,发病率为134/10万,人数较去年相比有所增加,全球约1/4人口潜伏感染结核菌,每分钟1.4人确诊活动性结核,2023年因结核病死亡人数为125万,结核病重返全球单一传染病死因首位,导致的死亡人数几乎是HIV/AIDS的两倍。


❷ 【90%的人不知道的真相】肺结核≠绝症!
在全球结核病防治实践中,规范用药后,普通肺结核治愈率超85%,这意味着绝大多数患者只需坚持6个月标准化疗就能重获健康。然而据WHO 报告显示,全球范围内仍有33%的患者因未能及时确诊,陷入「误诊-治疗延误-自行停药」的恶性循环—这种不规范用药治疗费用高达20万+,治愈率仅50%。

耐药危机:中国耐药结核占比7.1%(较2010年增长210%)



经济核弹:1例耐药患者=摧毁1个家庭
从漏诊到精准锁定:影像早筛如何改写结核结局
宝润便携DR+肺结核专项智能辅助诊断方案
筛查时效
DR系统在资源匮乏地区的应用展现出变革性力量,快速筛查功能可大大提升基层诊断效率
诊断精度
AI辅助DR系统可实现高诊断精度,大大减少误诊导致的继发性耐药病例,从而降低耐药风险。
经济杠杆
早筛成本仅占耐药治疗总支出的1%左右,能大幅降低患者家庭的经济灾难性支出。

【企业行动】科技向善,让筛查没有盲区
宝润便携DR+肺结核专项AI辅助诊断方案可以帮助医生快速判断肺结核疾病。通过智能AI自动筛查精准锁定疑似结核患者,减少传播途径;防止漏诊,辅助医生做出诊断,提能增效,轻松完成大规模筛查,为社区义诊、校园筛查提供高效支持。

终结结核流行,靠的不只是药物,更是每一次及时的影像筛查。关注肺部健康,让我们共同构建无"核"未来!
参考资料:
[1] World Health Organization. Global tuberculosis report 2024[EB/OL].[2024-10-29].
https://www.who.int/teams/global-tuberculosis-programme/tb-reports/global-tuberculosis-report-2024
[2]中国肺炎研究院.重磅推送 |《2024年全球结核病报告》发布——权威解读报告关键数据[EB/OL]. [2024-12-9].
https://www.chinapneumonia.cn/hotinfo/id/1315
[3] Chinese Center for Disease Control and Prevention. Operational Research on TB Diagnostic Delays in Primary Care Settings[EB/OL]. [2024-10-30].
http://en.chinacdc.cn/research_reports/2024/TB_delay_2024.
[4] State Council of China. Health Poverty Alleviation Equipment Gap Report (2024 Edition)[EB/OL]. [2024-10-30].
http://english.gov.cn/policies/policy_whtepapers/2024/health_equipment_gap
[5]World Health Organization. WHO consolidated guidelines on tuberculosis: Module 4: Treatment - Drug-susceptible tuberculosis treatment[EB/OL]. (2022-06-30)[2024-10-30].
https://www.who.int/publications/i/item/9789240048126
[6]中华医学会结核病学分会. 耐药结核病化学治疗指南(2020年版)[J]. 中华结核病杂志, 2020, 43(10): 1003-1010. DOI: 10.3760/cma.j.cn112147-20200817-00921
[7]中国疾病预防控制中心结核病预防控制中心. 中国耐多药结核病诊疗费用分析报告[R]. 北京: 中国疾控中心, 2024: 33-35.
[8]National Health Commission of the People's Republic of China. Technical Specification for Drug-resistant Tuberculosis Diagnosis and Treatment[EB/OL]. (2023-05-12)[2024-10-30].
http://www.nhc.gov.cn/jkj/s7915/202305/xxxxxx.shtml
[9]Global Alliance for TB Drug Development. 2023 Global Report on TB Treatment Success Rates[R]. New York: Stop TB Partnership, 2023: 45-47.
[10]中国医学装备协会. 移动DR基层结核病筛查卫生经济学评估报告[R]. 北京: 中国医疗设备研究院, 2023: 28-31.
[11]国家药监局医疗器械技术审评中心. YY/T 0744-2023 数字化X射线影像系统行业标准[S]. 2023-06-15.
[12]World Health Organization. WHO guidelines on the management of drug-resistant tuberculosis[EB/OL]. (2023-03-24)[2024-10-30].